• 767 521 986
  • STRONA GŁÓWNA
  • O PRAKTYCE
  • OFEROWANE ZABIEGI
  • GALERIA
  • KONTAKT
  • DLA LEKARZY STOMATOLOGÓW

  • STRONA GŁÓWNA
  • ZABIEGI STOMATOLOGII ZACHOWAWCZEJ
Adminis      -
14Kwi

ZABIEGI STOMATOLOGII ZACHOWAWCZEJ

Konsultacja – wywiad ogólnolekarski , badanie stanu uzębienia , stanu zdrowia jamy ustnej i otaczających struktur anatomicznych , zdjęcie punktowe lub panoramiczne , wyciski diagnostyczne , dokumentacja fotograficzna , planowanie leczenia .
Zdjęcie punktowe – prześwietlenie kilku zębów w wysokiej rozdzielczości /zapis w formie cyfrowej /

13312

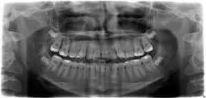
Zdjęcie panoramiczne – zdjęcie wszystkich zębów szczęki i żuchwy przydatne przy ogólnym przeglądzie stanu uzębienia, planowaniu leczenia protetycznego, leczeniu ortodontycznym itp.

2

Zdjęcie panoramiczne szczęki i żuchwy .

Zaświadczenie o stanie zdrowia jamy ustnej – potrzebne w czasie ciąży, do zabiegów kardiologicznych , okulistycznych ,ortopedycznych itp.

Usuwanie kamienia nazębnego , osadów – usuwanie zalegających osadów z zębów własnych lub uzupełnień protetycznych .

osad

Osady , kamień nazębny.

oczyszczone
Po oczyszczeniu

Wypełnienia – uzupełnianie brakujących tkanek zęba/ubytków materiałem kompozytowym w kolorze zęba .

ubytekmaly

Ubytek mały

ubytek duzy
Ubytek duży

Wymiana wypełnienia amalgamatowego na wypełnienie w kolorze zęba – zamiana nieestetycznego wypełnienia amalgamatowego w kolorze metalu na wypełnienie w kolorze zęba.

wypelnienie

Wypełnienie amalgamatowe przed wymianą

wypelnienie_b
Wypełnienie amalgamatowe po wymianie .

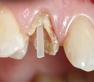
Wklady z włókna szklanego – zwiększają utrzymanie i zakotwiczenie dużych wypełnień w zębach .

wklady z wlokna
Wkłady korzeniowe z włókna szklanego.

wklady

Wkład z włókna szklanego zamontowany w korzeniu zęba.

Endokorona – można wykonać gdy w zębach bocznych dolnych lub górnych brakuje dużej ilości tkanek , a zachowany jest korzeń zęba z fragmentem korony , potrzebne 2 wizyty .

endokorona
Wykonana przez technika endokorona na modelu

Leczenie kanałowe – gdy ząb boli samoistnie , nadmiernie reaguje na zimno,
pojawia się opuchlizna tkanek miękkich , należy przeprowadzić
procedurę leczenia kanałowego .
Zatrucie miazgi zęba – założenie do bolącego zęba substancji znoszacej odczucia bólowe .

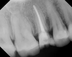
Leczenie kanałowe zęba jednokorzeniowego – opracowanie chemiczno -mechaniczne kanału korzeniowego , pomiar długości oraz wypełnienie kanału korzeniowego odpowiednim materiałem w zębie jednokorzeniowym.

kanal zęba
Wypełniony kanał zęba jednokorzeniowego.

Leczenie kanałowe zęba dwukorzeniowego – opracowanie chemiczno -mechaniczne kanałów korzeniowych , pomiar długości oraz wypełnienie kanałów korzeniowych odpowiednim materiałem w zębie dwukorzeniowym.

kanal zab dwukorzeniowy

Wypełnione kanały zęba dwukorzeniowego

Leczenie kanałowe zęba trzykorzeniowego – opracowanie chemiczno -mechaniczne kanałów korzeniowych, pomiar długości oraz wypełnienie kanałów korzeniowych odpowiednim materiałem w zębie trzykorzeniowym.

wypelnienei trzy korzenie
Wypełnione kanały zęba trzykorzeniowego

Leczenie kanałowe zęba czterokorzeniowego – opracowanie chemiczno-mechaniczne kanałów korzeniowych , pomiar długości oraz wypełnienie kanałów korzeniowych odpowiednim materiałem w zębie czterokorzeniowym.

 wypelnienie-zab-cztery-korzenie

Wypełnione kanały zęba czterokorzeniowego

Szynowanie zębów – usztywnienie chwiejących się zębów szyną z włókna szklanego.

szynowanie
Szyna na zębach.

Powrót

Nasz zespół tworzą

    • Lek . stom. Jarosław Pieniądz
    • Lek . stom. Krystyna Pieniądz
    • Lek. stom. Beata Imielska – Dudziak
    • asystentka stom. Katarzyna Sroka
    • asystentka stom. Katarzyna Gamrot
    • asystentka stom. Marta Szymańska

Kontakt

DENTAL STUDIO
ul. Budowniczych LGOM 61A
59-300 Lubin

Zadzwoń

Rejstracja telefoniczna – 767 521 986
Lek. stom. tech. dent.
Jarosław Pieniądz – 691 490 106
Lek. stom.
Krystyna Pieniądz – 603 818 303
Lek. stom.
Beata Imielska-Dudziak – 609 640 930

@ 2017 System-3 Sp. z o.o.